Unsere Leistungen umfassen
Vorsorge
- Gesundheitscheck
- Impfungen
- Sachkundenachweis
- Endo- Ektoparasitenprophylaxe
(z.B. Entwurmung, Zeckenschutz...)
Diagnostik
- Blutuntersuchungen
im hauseigenen Labor - Harnuntersuchungen
- Kotuntersuchungen
- Mikroskopische Untersuchung
- Ultraschall
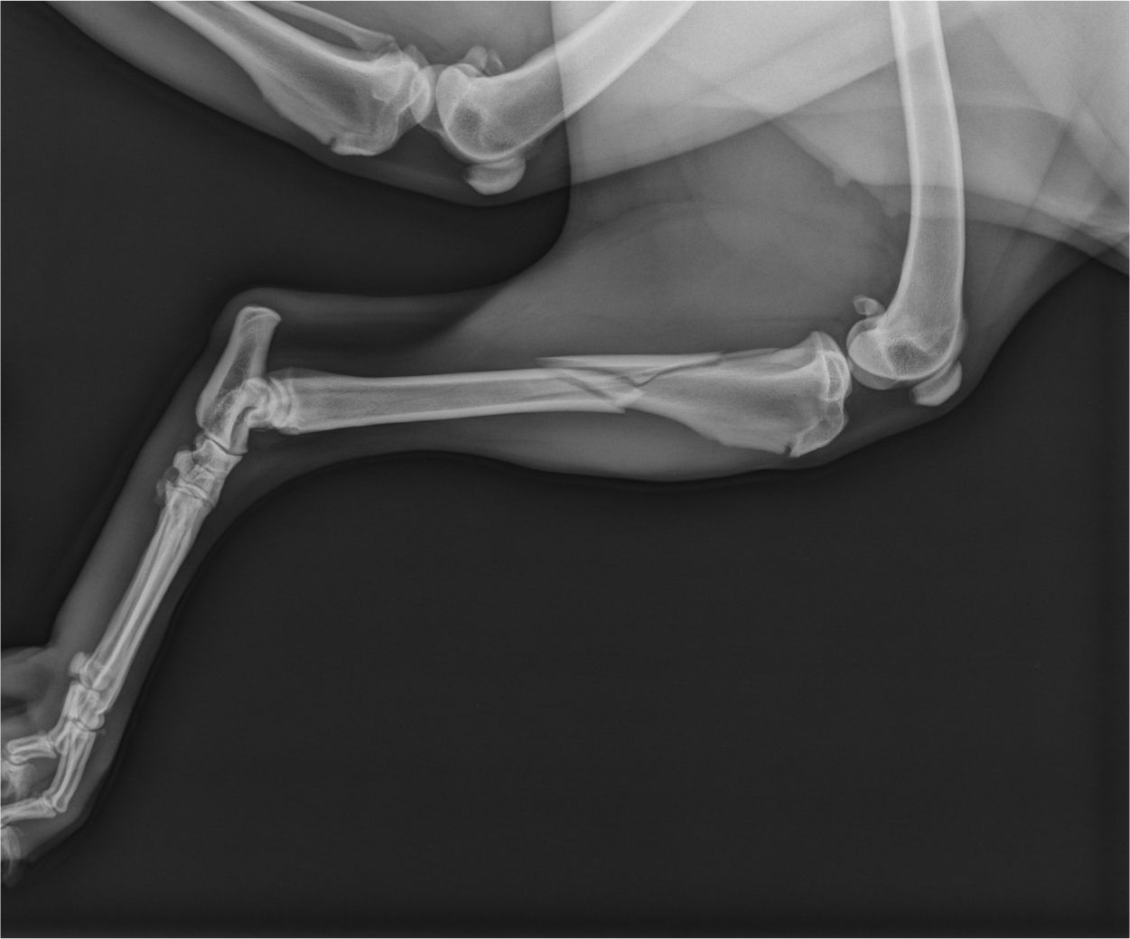
- Digitales Röntgen
Chirurgie
- Kastration Rüde/Hündin
- Kastration Kater/Katze
- Tumoroperationen
- Heimtier-Chirurgie
- Weichteilchirurgie
Zahnbehandlung
- Zahnsteinentfernung
- Zahnextraktion
- Zahnbehandlung Heimtiere




